Please confirm topic selection

Are you sure you want to trigger topic in your Anconeus AI algorithm?

Please confirm action

You are done for today with this topic.

Would you like to start learning session with this topic items scheduled for future?

Updated: May 3 2022

Microanatomy of the Lung

Images
https://upload.medbullets.com/topic/117002/images/alveoli.jpg
  • Overview
    https://upload.medbullets.com/topic/117002/images/alveoli.jpg
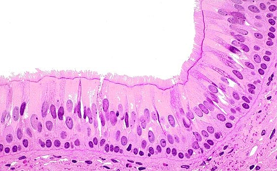
    • Airway lining
      • pseudostratified ciliated columnar cells extend to the bronchioles
        • mucus secretions are swept out of the lungs toward the mouth by ciliated cells
        • smoking causes these cells to undergo metaplasia
          • replaced by stratified squamous
      • simple ciliated columnar epithelium extends to the terminal bronchioles
      • ciliated cuboidal cells extend to the respiratory bronchioles
      • alveolar sac are composed of pneumocytes
        • macrophages clear debris in alveoli
      • goblet cells extend to the larger bronchioles but stop before the terminal bronchioles
    • Type I pneumocytes
      • 97% of alveolar surfaces
      • line the alveoli
      • squamous
      • thin for optimal gas diffusion
      • form blood-gas barrier with pulmonary capillary endothelial cells
    • Type II pneumocytes
      • 3% of alveolar surfaces
      • secrete pulmonary surfactant within lamellar bodies
        • dipalmitoyl phosphatidylcholine
        • lowers the alveolar surface tension
      • cuboidal and clustered
      • serve as precursors to type I cells and other type II cells
      • proliferate during lung damage
    • Club (Clara) cells
      • nonciliated
      • columnar with secretory granules
      • secrete component of surfactant
      • degrade toxins
      • act as reserve cells
    • A lecithin-to-sphingomyelin ratio of > 2.0 in amniotic fluid is indicative of fetal lung maturity
flashcard locked
Create a free account or log in to see the cards.
Question
1 of 7
Respiratory | Microanatomy of the Lung
  • Respiratory
  • - Microanatomy of the Lung
11:10 min
11/9/2021
77 plays
0.0
  • star icon star icon star icon
  • star icon star icon star icon
  • star icon star icon star icon
  • star icon star icon star icon
  • star icon star icon star icon
(0)
Private Note